Our Smile Gallery
Home » Our Smile Gallery
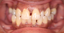
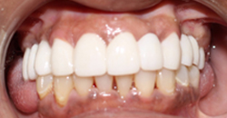
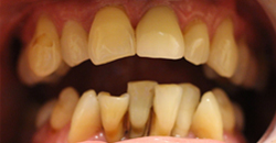
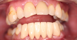
Before and After Images
Below, you will see results from actual patients of Dr. Prasad.












Happy Clients
I recently had an exam and cleaning of my teeth and all the staff were so welcoming and friendly. They made me feel at ease with the procedures and talked me through everything. I would highly recommend this dental office.
